Of course the blog has always been all about me – hence the name Tom Faranda’s Folly. Anyway I posted this Health Update: Knee surgery tomorrow on August 13th and did have the surgery – now nine days ago.
Here’s why – look at the bow on my left leg. There was no cartilage padding on the interior of the knee – so it’s just physics. It was also painful to do what I was accustomed to doing – hiking in the Hudson Highlands or long sessions on the elliptical machine were out. I’d have thought twice about posting pictures if this was rectal surgery – but it wasn’t …
The surgery was done by Dr. Michael Gott, who’d been following me for two and a half years, doing the gel shots – which helped for about two years. But then it was time – my decision.
So, done at the White Plains Hospital and here’s part of the pre-op as they marked two spots where small incisions were made – I think for the robot arms? Not sure. Been meaning to ask him …

And out of surgery – looks like this –

Brigid, doting –

Back home –

Went to physio for the first time on Friday – two days after surgery – and among other things took off the ace bandage. PT went well with Jen – range of motion was a little over 90 degrees.
Then on Sunday noticed that besides the standard swelling, this really large amount of bruising. Not painful, I didn’t realize it was there until Brigid pointed it out. Best view is from the back and on Monday the physio said it was unusual and suggested emailing pictures to Dr. Gott.


When I spoke with Dr. Gott on Tuesday he said it was no concern at all – was because he’d put me on a blood thinner due to my cancer history. Evidently I am more likely to develop a deep vein thrombosis (DVT) and the two weeks of blood thinner is a protection against that. The blood thinner multiples the bruising by a factor of 10!
We took the dressing you can see in the prior picture off on Monday and this is what it looked like under the dressing. The main incision is not stitched – it’s held together by steri strips. We left the area uncovered. This is standard according to Jennifer, my physio. The black thing at the end of my foot is the ice cuff, connected to the ice machine. Pumps ice water through the cuff – great and I have kept it wrapped around my knee almost continuously.

You can see the swelling pretty clearly.
So I saw Dr. Gott yesterday and everything is fine. He took out the couple stitches on the small incisions and left the steri strips on. I can now shower and in a week pull the strips off myself.I will see him again in six weeks. As of Wednesday with Jen, my range of motion was up to 110 degrees. The goal is back to normal at 135.
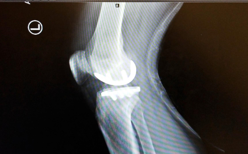
I scanned the x-rays onto my phone – here’s the best one. You can see how the top and bottom parts of the appliance are embedded in the bones and also the artificial padding that replaces my cartilage. When I spoke with Dr. Gott right after the surgery and asked him the state of my knee after he got into it, he said “Your knee was trashed. All the cartilage on that side was gone, all bone on bone.” The rest of the knee though was OK, hence only a partial replacement.

Anyway, pretty cool And the bowing of my left leg has been partially corrected – by the spacing increased between the two bones by the appliance. Science marches on. I’m now cleared to go to the gym for upper body work – lower body still with the physio – shower, and basically do anything as long as I don’t drive under the influence of pain meds. Nine days post op. I’m pleased. Dr. Gott , his staff, and White Plains Hospital – all excellent – 5 out of 5.
Leave a Reply