UPDATE: Surgery scheduled for 11:30AM tomorrow
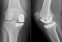
Yup. A partial left knee replacement – the medial compartment (the inner aspect of the knee). It’s been pending for a long time – had meniscus surgery in 2004 and been taking the hyaluronic acid shots for the last two and a half years. And it helped greatly – for awhile. But now time for surgery.

And the bone on bone osteoarthritis had nothing to do with 20 years of playing rugby; everything to do with being bowlegged! Hahaha!
It’s being done at White Plains Hospital (same place Tim had his knee surgery eight years ago), and they are keeping me overnight, even though I probably could go home the same day. Big concern is infection. Rare but you never know … White Plains Hospital has a very low infection rate. The orthopedic surgeon is Michael Gott and he told me that compared to a total knee replacement “The pain is the same but the rehab is faster.” We’ll see.
Leave a Reply