UPDATE: Wow! Those are ugly legs …
So ten weeks ago today I had my surgery – Michael Gott who has been following me with the gel shots for almost three years did the work. And I am very happy with the results. For other Faranda family surgery see below the pictures.
The knee is still a little stiff but probably 85% as good as it’s going to get. No pain running short distances, no trouble with stairs, no trouble walking distances. In fact on September 26th, less than six weeks after surgery, I walked almost three miles. And the knee felt fine in the evening. It pays to really do the physiotherapy! The more you push the better you’ll do!!
Here’s what the knee looks like now – the scar is about 5 inches.

And here’s a comparison with my “good” right knee. There’s just slightly more swelling showing in the left – barely noticeable.

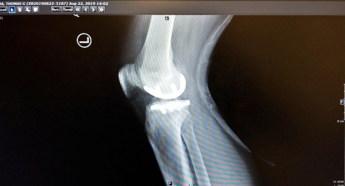
This is the appliance inside the knee – that’s me!

And how things looked August 22nd, eight days after the surgery and the outer dressing off.

Now to add to the recent excitement – on September 30th Tim tore his left pec. Or rather the tendon that connects his pectoral muscle to his shoulder. He was bench pressing – had done 345 lbs. but then the tear at 365 – luckily he had a spotter and other of his friends were there at the NY Sports Club. We went to the Phelps ER and then saw Dr. Gott (now the official Faranda Family Orthopedic Surgeon) the next day. He did the repair on Tim’s shoulder on October 9th. When Tim went for the follow-up visit on the 17th, to our surprise he had a hematoma under the incision and we spent that day back at White Plains Hospital getting it cleaned out. Tim’s darn shoulders and chest are so big – we just thought it was standard swelling.
Anyway he’s fine now but will have a sling on for another month and is doing his physiotherapy at the same place I’m doing mine. Tim will make a full recovery and will be back benching in six months. But maybe not go up in 20 lb. increments. …
Leave a Reply